Expediting Medical Discovery
Syntropic Core Lab is your clear choice for venous, arterial, and wound imaging adjudication needs.
+ We provide all the vascular adjudication services you need under one roof.
+ We collaborate with you as trusted partners to advance your clinical research.
+ We deliver integrated support services and ensure data integrity.
Our Offerings
Unbiased image interpretation + Imaging protocol development + Clinical trial consultation
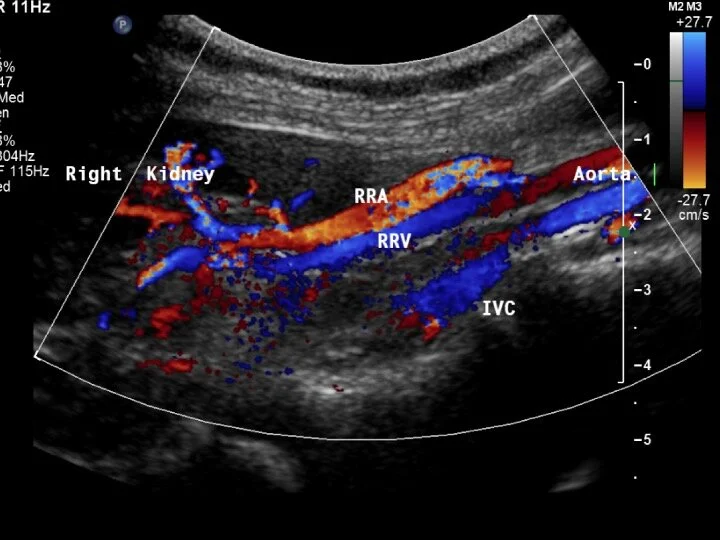
Duplex Ultrasound
Intravascular Ultrasound
Venography
Arteriography
Wound Imaging
X Rays for Device Position and Integrity

